Sambata trecuta n-a fost deloc fericita pentru Spartacus. S-a luat la tranta cu cine nu trebuia si s-a ales din asta cu :
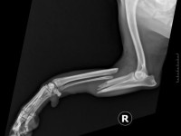
1) fractura cavitatea acetabulara dr.
2) fractura completa oblica diafiza 1/3 mediana radius si ulna deschisa
3) fractura cominutiva diafiza 1/3 proximala tibie si fibula membru posterior dr.
Spartacus (asa a fost numit de salvatorii lui) este acum in grija Asociatiei Robi si a ramas la clinica Armeneasca unde a fost internat sambata noaptea. Tot aici va fi operat si ingrijit.
Dar iata cum a ajuns catelul accidentat sa fie salvat si internat.
Last Saturday wasn’t a pleasant one for Spartacus. He wrestled with the wrong animal and he got 3 bad fractures.
Spartacus (who was named so by his saviors) is now under the care of Robi’s Dog Shelter and he stays at the clinic Armeneasca, where he was hospitalized on Saturday night. In here he will go to surgery and he will be taken care of.
‘ha! ha! ha! here’s what a man can do at 3 o’clock in the morning… I went with my son, Andreea Pisik and Medeea Barabanciu to pick up a puppy from Crangasi, which was hit by a car. „Ozana Bonta
Yesterday · Edited
ha! ha! ha! iata ce mai poate face omul la trei dimineata….am fost cu fiu’miu , cu Andreea Pisik si Medeea Barabanciu ,sa luam un catel din Crangasi, care a fost lovit de o masina . Ne-am intalnit cu Croitoru Nicu si inca un baiat, cei care l-au gasit si au postat pe FB ….Toate bune dar cainele (l-am botezat Spartacus) avea fractura deschisa pe piciorul dr. fata si fractura pe piciorul dr. spate…s-a speriat cand ne-a vazut, a intrat asa tarandu-se sub o masina…l-am impins cu un covor pe care-l tin de o luna jumate in masina in speranta ca voi ajunge la Nufarul cu el…am reusit sa il leg la bot , si intr-un final cu tot curajul de care dispuneam si cu indicatiile prin telefon ale lui Kuki Barbuceanu, am reusit sa prind cainele de ceafa si sa-l scot . In timp ce eu eram cu fundul in sus prin noroi incercand sa trag de caine in sus ca sa-l putem pune in patura, au aparut si trei politisti care ne-au spus ca si lor le-a fost sesizat cazul !!!!!!!!! Pe bune ???? SI ??? Au sunat la ASPA si li s-a spus ca ei nu au echipaj pt. weekend !!!!!!!!!!!!!! Norocul cainelui !!!! Evident ca noi am luat cainele in patura, si l-am urcat in masina, in timp ce ei mai bateau campii , fiu’miu s-a bagat sub masina sa recupereze covorul , iar aia trei au ramas pe trotuar uitandu-se lung dupa noi. Intr-un final am ajuns la Armeneasca si l-am lasat acolo…sper sa nu aiba leziuni interne si sa se faca bine…Probabil ca dimineata va fi mutat la Ortovet…vom vedea . Acum e cinci si totul e bine cand se termina cu bine !!! Spartacus e inca in stare de soc, dar va multumeste tuturor celor care ati dat o mana de ajutor , inclusiv celor de la N.E.R.O. …doamnelor …ca domnii erau disparuti in ceata cand am cerut o mana de ajutor !!!!!”
Noi ii felicitam pe cei care s-au mobilizat si au facut posibila salvarea micutului ghinionist sau poate norocos tinand cont de faptul ca asa zob cum e si-a castigat dreptul la viata.
Spartacus are nevoie de sustinere financiara motiv pentru care va reamintim conturile in care puteti dona pentru el si multi altii aflati in situatia lui.
Asociatia pentru protectia animalelor Robi
CIF 13765439 BCR 2
Cont RON: BCR 2 RO16RNCB0073049952070001
Cont EURO: BCR 2 RO05RNCB0073049952070005
Cont USD: BCR 2 RO32RNCB0073049952070004
sau prin serviciul online PayPal (disponibil pe www.4animals.ro )
Va multumim inca o data pentru ajutorul dat animalutelor de care ne ocupam.
We met Croitoru Nicu and another boy, the ones who found him and posted the news on FB. All good, but the dog (I named him Spartacus) had an open fracture on his right front leg and his right back leg. He was frightened when seeing us, he dragged himself under a car… I pushed him with a carpet which I had in my car and I tied his mouth up. Finally, helped by my courage and the indications of Kuki Barbuceanu, I managed to get the dog out of there. While I was muddy trying to drag the dog out of there, so that we can put him under a blanket, 3 cops showed up pretending that the case was theirs. Really? So? They called ASPA and they said they are not equipped for the week-end!!! Lucky dog! Obviously, we took the dog in the blanket and got in the car while they were still muttering; my son recovered the carpet and we left the three of them watching us leave. Finally we got to Armeneasca and we left him there.. I hope he doesn’t have internal injuries and he gets well quick. Probably he will be transferred at Ortovet in the morning, we’ll see! It’s 5 o’clock now and all’s well that ends well. Spartacus s still in shock, but he is grateful to everyone who helped him, including those from N.E.R.O.. to the ladies, because the men were missing when we asked for a little help.’
We congratulate the ones who made an effort in saving this unfortunate little guy or maybe lucky one, taking into account that he earned his right to life being in his condition.
Spartacus needs financial support, so we are reminding you the bank accounts where you can donate for him and many others in his condition:
Robi’s Dog Shelter:
CIF 13765439 BCR 2
Cont RON: BCR 2 RO16RNCB0073049952070001
Cont EURO: BCR 2 RO05RNCB0073049952070005
Cont USD: BCR 2 RO32RNCB0073049952070004
or by online PayPal service (available on www.4animals.ro )
Thank you again for helping our animals.
